본문바로가기

open

닫기
검색

검색어를 입력하세요.

 

혈액 속 세포- 백혈구,적혈구,혈소판

서울아산병원은 신뢰도 있는 건강정보 콘텐츠를 제공하여 더 건강한 사회 만들기에 도움이 되고자 합니다.콘텐츠 제공 문의하기

TV 드라마나 영화를 보면
'백혈병' 에 걸린 주인공을 종종 보게 됩니다.
이 병에 걸리면 쉽게 피로해지고 자주 열이 나거나
코피, 멍 등의 출혈 경향이 증가하게 되는데요.

백혈병이란
비정상적인 백혈구가 과도하게 증식해
정상적인 백혈구, 적혈구, 혈소판 기능이
억제되는 질환입니다.

그럼 대체 백혈구와 적혈구, 혈소판 등은
우리 몸에서 어떤 일을 하는 걸까요?

우리의 혈액은
혈장이라고 부르는 액체 성분과
혈구라고 부르는 세포 성분으로 나눌 수 있습니다.

혈액은 산소와 이산화탄소,
영양소, 노폐물 등을 운반하고
식균 작용을 통해 우리 몸을 보호하며
혈액 응고 기능을 통해 출혈을 방지합니다.

이러한 혈액의 기능을
혈액 속의 혈구가 주로 담당하는데요.
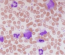
혈구의 종류는 적혈구, 백혈구, 혈소판이 있고,
이 혈구는 주로 골수에서 생성되며
골수 안에 있는 조혈모세포가 분화하여
성숙됩니다.

혈액 속에 들어있는 혈구는
각각의 형태와 기능이 다른데요.
어떤 차이가 있는지, 자세히 알아보겠습니다.

적혈구는 혈액 내에 약 25조개 정도 존재하고
혈액 세포 중에서 가장 많은 수를 차지합니다.
피가 빨갛게 보이는 것이 바로 적혈구 때문인데요.
적혈구는 가운데 부분이 오목하게 들어간 원반 형태로
우리 몸 구석구석으로 산소를 운반해주는 역할을 합니다.,
이 적혈구는 혈액 속에서 100-120일 살아 움직이고,
노화된 적혈구는 비장에서 제거됩니다.
우리 몸은 적혈구가 부족하거나 제 기능을 하지 못하면
피로하거나 어지러운 등의 빈혈 증상을 느끼게 됩니다.
혈소판은 혈구들 중에 가장 작은 크기로,
파편과 같이 불규칙한 모양을 하고 있습니다.
혈관에 상처가 생겨 출혈이 생기면
혈관 속의 혈소판은 이 상처 부위를 메워주어
출혈을 멎게 하는 기능을 합니다.
간혹 혈액검사 결과에서
백혈구 수치가 증가한 것을 볼 수 있는데요.
백혈구 증가의 원인은 다양하지만
대부분은 우리 몸 속에 세균이 들어오거나
염증이 생긴 것을 의미합니다.
백혈구는 면역기능을 수행하는 혈액 세포로,
세균이나 이물질을 잡아먹거나 항체를 형성하게 함으로써
감염으로부터 신체를 보호하는 역할을 합니다.
백혈구는 아메바 운동을 하면서 침입한 세균과 이물질을
세포 내로 끌어들인 후 이를 분해하여 파괴하는데요.
이 백혈구를 자세히 살펴보면
내부에 알갱이 모양의 과립이 있는 세포와
없는 세포로 나누어 볼 수 있습니다
과립이 있는 백혈구에는 호중구, 호산구, 호염기구가 있고
과립이 없는 백혈구에는 림프구, 단핵구가 있으며
각각의 백혈구는 약간씩 다른 기능을 합니다.
혈액 속에 백혈구가 부족하면, 면역력이 떨어져
쉽게 감염증에 걸릴 수 있습니다.

적혈구, 백혈구, 혈소판이 제 기능을 하지 못하면,
우리 몸에는 여러 가지 이상증세가 나타납니다.
쉽게 피로하거나 자주 열이 나고
코피, 잇몸 출혈이 있거나 멍이 쉽게 든다면
혈액 속 혈구에 문제가 있는 것일 수 있으니
전문가에게 정확한 진단을 받아 보는 것이 좋겠습니다.

05505 서울특별시 송파구 올림픽로 43길 88 서울아산병원
사업자등록번호 : 219-82-00046 박승일
TEL 1688-7575 / webmaster@amc.seoul.kr
Copyright@2014 by Asan Medical Center. All Rights reserved.
  • 진료과 바로가기
  • 재단산하기관 바로가기
  • 센터 바로가기
  • 관련기관 바로가기
  • 서울아산병원, 20년 연속 존경받는 병원 1위
  • 서울아산병원, 美 뉴스위크 평가 세계 25위·국내 1위
  • 서울아산병원, 정보보호 관리체계 ISMS 인증 획득