질환백과
- 정의
이염성 백질이영양증은 소아의 백질대사 질환 중에서 대표적인 질환입니다. 아릴설파타아제 A(arylsulfatase A)가 감소하여 유발되는 상염색체 열성 유전 질환입니다. 매우 희귀한 병입니다.

- 원인
아릴설파타아제 A(arylsulfatase A)를 만드는 유전자의 돌연변이가 여러 부위에서 발견되었습니다. 그 유전자는 22번 염색체 장완(22q13-13qter)에 있습니다. 아릴설타파아제 A(Arylsulfatase A)의 결핍이나 부족으로 인하여 cerebroside sulfate(sulfatide)가 중추신경계와 말초 신경의 백질과 수초에 축적됩니다. 이것은 톨루이딘 블루(toluidine blue) 염색 검사를 시행하면 적갈색으로 염색되므로, 현미경으로 관찰할 수 있습니다.
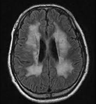
백질에는 광범위하게 탈수초(demyelination)가 일어납니다. 백질은 위축 상태이며, 말기에는 심하게 위축됩니다. 발병 연령과 효소 결핍의 종류에 따라 영아 후기형(late infantile), 연소형, 성인형 등으로 구분합니다.
- 증상
영아 후기(late infantile)형 이염성 백질이영양증은 1~2세경에 시작되고, 연소형 이염성 백질이영양증은 5~10세경에 시작되며, 성인형은 30~40대 이후에 발병합니다.
이염성 백질이영양증의 초기 증상은 보행 장애입니다. 증상 초기에는 사지의 경직성 마비(spasticity)가 나타날 수 있습니다. 이때도 아킬레스건 반사(ankle jerk)가 감소, 소실되는데, 이는 말초신경이 침범되어 있기 때문입니다. 경직성 마비가 심해서 앉지도 못하고 서지도 못하며, 나중에는 침대에 누워 있게만 됩니다. 지능 장애도 심해지고, 말도 못 하게 됩니다. 대개 발병 후 3~4년 내에 사망합니다.
- 진단
이염성 백질이영양증은 혈청, 백혈구, 배양된 섬유아세포(fibroblast), 소변에서 아릴설파타아제 A(arylsulfatase A)가 감소, 소실되어 있으면 진단할 수 있습니다. 신속한 진단 방법으로는 요의 침전물에서 톨루이딘 블루(toluidine blue)로 metachromatic material을 증명하면 진단에 도움이 됩니다. 담낭에 술파타이드(sulfatide)가 축적되면 X-ray 검사로 나오지 않습니다. 말초신경의 전달 속도가 저하되며, 척수액의 단백이 증가합니다. 말초 신경 생검으로 이색 염색(metachromatic staining)을 확인할 수 있습니다. ARSA 유전자 검사로 유전적 진단을 할 수 있습니다. 양수 천자에 의하여 양수 세포를 배양하고, 아릴설파타아제 A(arylsulfatase A)를 측정하여 출생 전에 진단할 수 있습니다.
- 치료
최근에는 골수 이식으로 병의 진행을 억제시켰다는 보고가 있지만, 증상이 발현되기 전에 치료해야 확실한 효과를 얻을 수 있습니다. 이 밖에 항경련제 등의 보존적 치료를 시행합니다. 최근 유전자 치료에 대한 연구를 진행하고 있습니다.
서울아산병원은 신뢰도 있는 건강정보 콘텐츠를 제공하여 더 건강한 사회 만들기에 도움이 되고자 합니다.콘텐츠 제공 문의하기



















