'감염성질환'의 검색결과가
총 142건입니다.
-
-
-
간농양(Liver abscess)
- 증상
-
황달,
기운없음,
오한,
열,
복부 통증,
오심,
설사,
압통,
구토,
간비대
- 관련질환
-
아메바성 간농양
- 진료과
-
감염내과,
소화기내과,
간담도췌외과,
간이식ㆍ간담도외과
-
-
감염성 단핵구증(Infectious mononucleosis)
- 증상
-
열,
목의 통증,
열감,
삼키기 곤란 ,
오한,
기운없음,
압통,
발진
- 관련질환
-
성병,
면역결핍증,
경부 림프절염,
후천성 면역결핍증
- 진료과
-
감염내과,
혈액내과
-
-
거대세포 바이러스 질환(Cytomegaloviral diseases)
- 증상
-
열,
정신 지체,
태아 저체중,
무증상,
청력장애,
난청,
궤양,
피로감
- 관련질환
-
단순 포진성 뇌염,
대상포진,
헤르페스 바이러스 감염,
감염성 단핵구증,
대상포진 후 신경통,
구순포진
- 진료과
-
감염내과,
소아감염과
-
결막염(Conjunctivitis)
- 증상
-
눈꼽,
눈의 자극감,
눈부심,
눈의 피로,
눈의 충혈
- 관련질환
-
출혈성 결막염,
백일해,
각막 궤양,
안구 건조증,
알레르기성 결막염,
각막 혼탁과 흉터
- 진료과
-
안과,
소아안과
-
결핵(Tuberculosis)
- 증상
-
열,
객혈,
체중감소,
기침,
가래
- 관련질환
-
폐결핵,
결핵성 골수염,
위장관 결핵,
결핵성 수막염,
속립성 결핵,
결핵성 임파선염,
결핵성 복막염
- 진료과
-
감염내과,
호흡기내과
-
결핵성 골수염(Tuberculous osteomyelitis)
- 증상
-
식욕부진,
근육경련,
뼈의 변형,
관절통,
체중감소,
열
- 관련질환
-
결핵성 임파선염,
결핵성 수막염,
척추 골수염,
위장관 결핵,
폐결핵,
속립성 결핵,
골수염,
결핵,
결핵성 복막염
- 진료과
-
감염내과
-
결핵성 복막염(Tuberculous peritonitis)
- 증상
-
복부팽만감,
오심,
복부 통증,
열,
권태감,
빈호흡,
빈맥,
체중감소,
발한,
압통,
복수,
식욕부진
- 관련질환
-
결핵성 골수염,
결핵성 수막염,
폐결핵,
위장관 결핵,
결핵,
결핵성 임파선염,
복막염,
속립성 결핵
- 진료과
-
감염내과
-
-
결핵성 임파선염(Tuberculous lymphadenitis)
- 증상
-
목 주변 부종,
피로감,
체중감소,
열,
고름,
발한,
피부궤양,
목의 통증,
식욕부진
- 관련질환
-
결핵성 복막염,
결핵성 수막염,
결핵,
폐결핵,
위장관 결핵,
결핵성 골수염,
속립성 결핵
- 진료과
-
감염내과
-
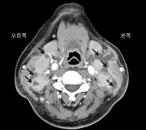
경부 림프절염(Cervical lymphadenitis)
- 증상
-
통증 없는 부종,
압통,
열
- 관련질환
-
풍진,
홍역,
아데노이드의 비대를 동반한 편도의 비대,
결핵성 임파선염,
림프관종,
림프종,
임파선염,
이하선염,
편도선염,
림프부종
- 진료과
-
감염내과,
이비인후과
-
-
-
-
-
-
급성 바이러스성 간염(Acute viral hepatitis)
- 증상
-
황달,
근육통,
감기 증상,
식욕부진,
권태감,
피로감,
구토,
피부소양감,
관절통,
피부 긴장도 저하,
오심,
복부 통증
- 관련질환
-
전격성 간염,
급성 A형 간염,
자가면역성 간염,
만성 B형 간염,
만성 C형 간염,
간염,
독성 간염,
급성 B형 간염,
급성 C형 간염
- 진료과
-
소화기내과,
간담도췌외과,
간이식ㆍ간담도외과